歯をきれいにすることで、あなたはもっときれいになれる

審美歯科とは、むし歯や歯周病治療に加えて、見た目のきれいさを重視した治療のことを審美歯科と言います。
歯の色や歯ぐきの色が不健康だったり、歯並びが悪かったり…歯が1本欠けていたり…などの第一印象に関わるお悩みです。
審美歯科では、カウンセリングを行い、口元の様々な悩みをお聞きし、おひとりおひとりに合った治療を行います。
ホワイトニング
ホワイトニングとは

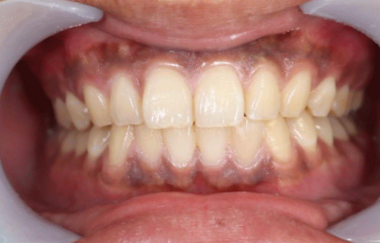
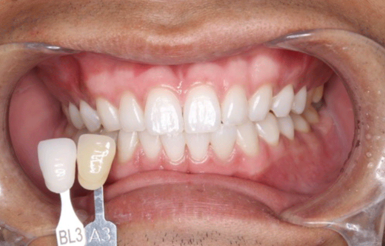
ホワイトニングは、現在の歯の色よりも白くする為の方法です。
ホワイトニング専用の器具と薬剤を使用し歯を白くしていきます。
歯の色を白くすることで笑顔にも自信が持て、接客業や営業職の方にもホワイトニングはとてもおすすめです。
また結婚式や記念日などの特別な日の前にも、ぜひお試し下さい。
これまでに歯の色などで悩んでいた方、ちょっと興味がある方もこの機会にぜひ一度お気軽にご相談下さい。
※ 当院ではホワイトニングコーディネーターの資格を有しております
ホワイトニングの効果

- 喫煙、飲食、加齢による歯の汚れを除去します。
薬品や鉱物、外傷、疾病による変色の中には、同様の効果が期待できない場合もあります。 - 通常2~3週間で安定した効果が得られます。
ホワイトニングの種類
オフィスホワイトニング [クリニックにて歯を白くする方法]


オフィスホワイトニングは、歯科医院にてホワイトニングを施術する方法です。
ホームホワイトニングとは違いご自身で毎日する手間もなく、短時間で歯が白くなる為、お忙しい方や、この日までに白くしたい!という方にオススメです。施術時間は、約1時間程です。
注意:短時間で歯を白くする為、元の歯の色に戻るのも早いです。
ホームホワイトニング[自宅にて歯を白くする方法]

ホームホワイトニングは、専用のマウスピースを作製しご自宅にて、専用の薬剤を入れて歯に装着するホワイトニングの方法です。
ご自宅にて好きな時に手軽にできますが、歯科医師の指導のもと用法用量を守って使用していただく必要があります。
1日に約2時間程、ホワイトニング剤を付けることにより着色成分を取り除き自然な白さを取り戻すことが出来ます。
歯を白くする為に長期間かけて使用も出来ますので、オフィスホワイトニングと併用して白さを保つために使用も可能です。
注意:薬剤の濃度が低い為、効果が実感できるまでに時間がかかります。
ホワイトニング効果を持続させるために

歯は放置しておくとだんだんと白さを失っていきます。
そしてホワイトニングは詰め物やかぶせ物を使うわけではないため、時間の経過とともにやり直す必要があります。
とはいえ、またゼロからやり直しになるとは限りません。
1回ホワイトニングをしていれば、次からは以前よりも早く白さを手に入れられることが多いです。
また、定期的に繰り返していけば、だんだんと変色するペースも落ちていくというデータがあります。
当院では、周期的なホワイトニングの提供にも対応しております。
ホワイトニングの注意事項
- 差し歯・神経を抜いた歯・詰め物重度のテトラサイクリンの方などの状態の方はホワイトニングでは歯は白くなりません。
- むし歯や知覚過敏の方で歯がしみる方は治療してからのホワイトニングの施術になります。
- 口腔内の状態によっては、すぐにホワイトニングできないこともあります。また、妊娠中、授乳中、18歳未満の方はできません。変色の原因や程度によって、ホワイトニングでは対応できないこともあります。
- その他にも、ホワイトニングの施術が不可の場合ありますので、くわしい事は歯科医師および歯科衛生士までお問い合わせ下さい。
ガムブリーチ(歯肉漂白)


人間の体で年齢の隠せない場所は、首筋・手・歯ぐきと言われています。歯ぐきが黒ずんでいると、いくら歯が美しくてもその美しさが打ち消されてしまいます。この黒ずみはメラニン色素による色素沈着です。
当医院では、薬剤を使ってこのメラニン色素を取り除き、歯ぐきを元の健康的なピンク色にします。
- 黒ずみが取れ、歯ぐきが健康的なピンク色になることで、歯美しさが際立ち、歯の着色が目立っているのではないかと気にすることなく自信を持って笑顔になれます。
- 歯の詰め物が原因で黒ずんでしまった場合は、残念ながら治すことができません。2~3日は歯みがきの時に、少し痛むことがあります。処置後は歯ぐきが白っぽくなり、きれいなピンク色になるまで1~2週間ほどかかります。
ガムブリーチの手順
ステップ1(診察)

処置前に、歯科医師による診察とカウンセリングをします。
茶褐色の歯ぐきは、顔全体の印象を暗くしてしまいます。
ステップ2(処置)

歯ぐきが白くなっている部分(上顎)が薬液を塗った状態です。数日後、白くなった部分の皮が剥がれ落ちてきます。歯科スタッフの指導に従ってお口の中の清掃を行って下さい。
ステップ3(処置数日後)

上顎、下顎ともに皮が完全に剥がれ落ちた状態です。キレイなピンク色の歯ぐきになります。
※最初の黒ずみの程度によって個人差はあります。
ガムブリーチの料金 ※ 自費治療です
| 1回につき | 8,800円(税込) 追加 2,200円 薬剤を使って、歯茎の表面をピーリングしていきます。1回目の塗布でピーリングが全て出来ているかを見るために1週間後に消毒に来て下さい。もちろん、その時点で同じ部位に気になる黒ずみがあれば、ピーリングをさせて頂きます。 |
|---|
ウォーキングブリーチ(歯内漂白)

歯の内部に歯内漂白専用の薬剤を入れて、黒ずんだり変色した歯を白くする治療法です。
深い虫歯もしくは外傷が原因となって、歯の神経の治療をした後や外傷に気付かずに徐々に神経が死んだり無くなった為に変色が起こります。このような歯の変色は、歯の内側の構造である象牙質が変色が原因の為、通常のホワイトニング(歯の外側から白くする方法)での施術では効果がありません。
歯内漂白の対象になる歯は
神経がなく、根の治療をしている事。
ご自身の歯が多く残っている事。(大半がプラスチックの詰め物の場合は対象外の可能性もございます)
※ 注意:金属が原因での変色は対応できません。
ステップ1(診察)
処置前に、歯科医師による診察とカウンセリングをします。
ステップ2(処置)
根の治療が必要な場合は、まず根の治療をしていきます。その後、歯の裏側の以前歯を削ったスペースから歯内漂白専用の薬剤を根の部分に入れていきます。
薬剤の交換は7~10日ペースでお好みの白さになるまで薬剤の交換をしていきます。通常は3~5回程度で、期間にして1ヶ月~1ヶ月半程度が目安です。
ステップ3(仕上げ)
※ お好みの白さになりましたら、再度歯の裏側にプラスチックの詰め物を入れて蓋をして終わりです。
ウォーキングブリーチの料金 ※ 自費治療です
| 1本 | 16,500円 |
|---|---|
| 薬剤交換 | 1回につき3,300円 |

